骨折 入院 694674-骨折入院 费用
月17日、歩道で滑って転倒、受傷。右大腿骨頸部骨折に て入院、同日、右人工骨頭置換術施行。手術後荷重の許 可が早く創部痛も自制内であり3日目には車椅子乗用、5 日目には歩行器歩行開始。杖歩行で自宅退院することが 本人の目標であった。大腿骨骨折の治療・手術・入院・リハビリについて 大腿骨骨折の治療方法にはどのようなものがありますか? 高齢者でも手術をしてもらえますか? 大腿骨の骨折をしたら歩けなくなりますか? 手術後に注意しておくことはありますか? 母は、平成29年11月から平成30年2月まで骨折で入院したのですが、そのうちの1ヶ月の入院費を例にとって説明しますね。 入院1ヶ月 の入院費の 総額が万円 。母の健康保険は3 割負担 なので、病院からの診療費の請求書は、 約25万円 でした。
黄晓明拍戏受伤入院范冰冰微博打气 影音娱乐 新浪网
骨折入院 费用
骨折入院 费用-圧迫骨折 チェックリスト いつもと違う腰の痛みの大部分は圧迫骨折が原因 高齢者が急な腰の痛みを感じたとき、その大部分は椎体圧迫骨折が原因だといわれています。 転んだりしなくても生活動作で骨折することもあります。 おかしいと思ったら、すぐに専門の医療機関を受診するように心がけましょう。 以下のいずれかの項目が該当したら、圧迫骨折の可能性入院期間は通常 3 ~4日程度ですが1週間程度入院してリハビリすることも可能です。 7、距骨骨軟骨損傷 距骨骨軟骨損傷とは骨折や捻挫などの際に距骨にストレスが加わり血流障害を起こし、軟骨が剥がれ落ちる病態です。



潍坊市人民医院寒亭院区
Q1 骨折をしたら何科に行けばいい? 軽い骨折だと思うのですが、その場合、何科に行けばいいでしょうか。 重症度に関わらず、頭蓋や顎顔面以外の骨折の治療は整形外科で受けることができます。 症状によって治療法は異なりますが、大きくは「保存 その1→足首骨折・入院記録①初日~3日目 群馬での入院 その2→足首骨折・入院記録②4日目~8日目 手術までの日々 骨折9日目(手術当日) 朝食はなし。水は朝7時まで。予定では9時に手術室の受付に並び、13時ころ病室に戻ることになる。行った.「骨折の入院経験を通して自分の中で大き く変わったと思うこと」,「入院治療中の精神的な支 え」,「回復できた要因」などについて質問し,自由 に語ってもらった. ..倫理的配慮 本研究では,骨折という身体的にも精神的にも
こんにちは。iichikohです。 2/9 (日)に骨折し体験した非日常を書き記しておこうと思います。 前回は骨折当時の状況でした。 今回は2件目の病院に行ったときとそのとき受けた説明、入院準備などを書きます。 2/12 (水) の平日になるのを待って、紹介状をもって紹介先の病院に行きまし術後入院期間14~28日間 大腿骨頚部骨折とは太ももの骨(大腿骨)の付け根に近い部分の骨折です。 若者の場合高エネルギー外傷(強い力)により発生する場合がありますが、多くは骨粗鬆症の進んだ高齢者、女性に起こります。 95%は転倒で発生し、日本では年間約10万人が受傷、今後高齢化社会が進むにつれてさらに増加が予想される重要な骨折です。 骨粗鬆症平均在院日数は293日 病気やケガで入院した場合に心配なのは、病院での不自由な生活だけでなく、長期入院による治療費や差額ベッド代などで経済的な負担が重くなることがあげられます。 厚生労働省の「平成29年 患者調査」によると、退院患者の平均在院日数は293日となっています。 傷病別にみると、一番長いもので「統合失調症、統合失調症型障害及び妄想
骨折の入院日数の平均はどれぐらい? 骨折の治療の際の費用は その入院日数と完治までの日数に関係します。 それでは、骨折の時の入院日数はどれくらいなのでしょうか? 厚生労働省の患者調査を見てみると 日数は年齢によって違うことがわかります。動かすと痛みが強くなります。骨折が不完全な 場合は、それほど痛まないこともあります。 緊急度は? 急いで医療機関を受診しましょう。 入院・手術は? ほとんどが入院して、できるだけ早く手術(骨 接合術・人工物 置 ち 換 かん 術など)をすることになり 骨折したときの全治期間の目安・治療法・早期回復への工夫 程度や部位にもよりますが、骨折をしてしまうと日常生活も不便になってしまいます。 病院に行くまでの間に、この骨折は全治 ヶ月ぐらい期間がかかるのか、治療法はどのようにするのだろうといろいろと気がかりだと思います。 また、早く治すためにできることがあれば、取り入れたいですよね



因左臂骨折入院许文远今出院 早报




45岁 老虎 伍兹遭遇车祸腿部骨折入院 俄罗斯卫星通讯社
骨粗鬆症・圧迫骨折の入院治療計画書 患者 様 (男性・女性 才)の治療にあたり病状や治療方針等につい て以下のとおりご説明いたします。あらかじめお読みください。後ほど担当医からご説明します大腿骨頸部骨折の観血的な治療のために、急性期病棟に入院してきた 65 歳以上の高齢 者で面接可能と判断される患者を対象とする 3調査方法 今回、大腿骨頸部骨折にて入院し、観血的治療を受けた入院高齢患者7名を対象に回 膝蓋骨(しつがいこつ)骨折で入院&手術!抜釘手術&総まとめ編(レントゲン写真付き) 1,062 views 19年版確定拠出年金、どのくらいの利回りで運用できています




骨折入院日記 2



创伤科四病区 肩胛骨粉碎性骨折 手术案例 文山郑保骨伤科医院
手術は、骨折の形に応じて、プレート固定法または髄内釘固定法を行っています。 <手術の大まかな流れ> 外来受診(手術のご説明や検査など) 手術前日に入院;入院対象となる疾患と入院期間 回復リハビリテーションとは? 脳血管疾患又は大腿骨頚部骨折、脊髄損傷等 の患者さんに対して日常生活動作能力の向上、 寝たきり防止のため、訓練室だけではなく病棟 においてもさまざまなリハビリを集中的に行います。 入院当初はこの先どうなるか不安で、他の方の骨折ブログがとてもありがたかったです。 私も何かの役に立てればと思い、骨折からの経過をまとめておきます。 骨折の状況 年末小学生の子ども2人とスケートに行きました。




老人骨折入院家属不见踪影医院多番联系未果上网为老人寻亲




百岁阿婆股骨颈骨折 人工股骨头置换术后快速康复 医技前沿 医院资讯 中山市人民医院
入院患者への対応を行ってきた.しかし,医療保健制 度の改訂により長期の入院は困難となっている.そこ で大腿骨転子部骨折患者において,入院期間に影響す る因子を調査した. 対 象 と 方 法 対象は 11 年 1 月から 15 年 12 月に加療を行っ60代・女性「大腿骨を骨折して入院・手術をしました」 80代以上・男性「大腿骨骨折の給付の代筆請求」 代以下・男性「保険加入直後に、主人が仕事で骨折して入院。」 30代・男性「バイク事故で転倒。骨折しました」 こんにちは Nanaです。 骨折した際に埋め込んだ金属のプレートとボルトを抜くことを勧められたけど、仕事や学業の都合もあるし入院期間がどれくらいかによるかで手術をどうするかという人もいらっしゃると思います。 私もかつては




一例指骨骨折 骨科 丁香园论坛




足を骨折して人生初の入院生活




碾压烟苗起纠纷 两邻居大打出手 结果双双骨折入院并被判刑 王东




图片 小儿股骨远端骨折治疗



四川43岁彭先生因右胫骨外伤骨折内固定术后破溃流脓2年 来我院治愈 骨髓炎治愈病例 骨髓炎 重庆贻青中医院



韩永锋团队骨科微创技术 新密市骨科医院



潍坊市人民医院寒亭院区



打破传统骨折患者不需二次手术取钢板 半岛网




美女coser模仿 马娘 Dropkick动作骨折入院花费30万 游戏 中华资讯在线



62岁男子深夜骨折入院 医生含泪苦劝 炒菜时一种调料要少放 娱乐资讯 中医养生知识网



韩永锋团队骨科微创技术 新密市骨科医院



中山8旬老人轻摔患 死亡骨折 48小时内手术好转



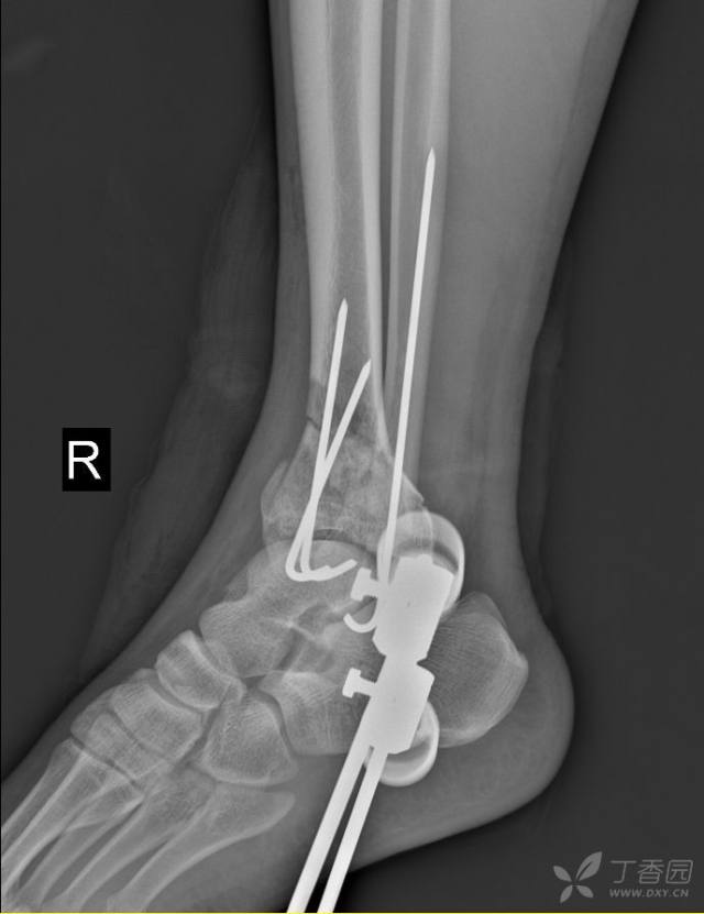
踝关节骨折 健康号 微医




秦煌入院 月初暈倒骨折入院秦煌出院解釋因減肥過急體力不繼 有片 香港經濟日報 Topick 娛樂 D1112




手を複雑骨折 入院 ボルト固定手術 リハビリ 4ヶ月の治療期間中 困ったこと 解決策 まとめ セリのメグミ




女生拓骨骨折入院图片 图片搜索



女生脚踝骨折入院照片 图片搜索




布兰妮跳舞到骨折紧急入院打石膏不忘搞怪 布兰妮 新浪娱乐 新浪网




筋骨堂 老年人摔倒致肩部骨折该怎么办 每日头条




62岁阿姨骨折入院 骨科医生 厨房2种调料是祸根 害了不少人 平安好医生




第五跖骨基底骨折恢复 知乎




56歲大叔骨折入院 骨科醫生嘆息 廚房2種調料 害了不少




66岁大叔摔倒骨折入院 专家直言 一把年纪 怎么还做这2件事 骨质疏松 驼背 钙质 王大爷 王大叔 网易订阅



眼科病例分析 严重眶面部骨折手术 新闻动态 甘肃省第二人民医院 西北民族大学附属医院



おいちゃん入院 株式会社ニシカワ Nishikawa Co Ltd




媒体四医丨四医升级髋部骨折绿色通道



开封11岁女童腿部骨折入院治疗后竟丢命究竟谁之过 中国搜索河南



女生脚踝骨折入院照片 图片搜索




党务网 复旦大学附属上海市第五人民医院




王志勇 因骨折入院治疗 出院后第二天再发骨折 医疗损害 简书



莆田秀屿86岁老人骨折入院急需 熊猫血 做手术 本网原创 东南网




常德武陵 小学生脚踝骨折入院老师把 课堂 搬到病房 每日头条




3d打印技术在骨盆骨折内固定术的应用 浙江德尔达医疗科技有限公司



骨折入院记录 万图壁纸网



骨内科内外兼治骨质疏松致骨折迟缓愈合功能受限者




足首脱臼骨折入院5 7目 足関節観血的手術 激痛 リハビリ開始 ひにログ




64岁阿姨骨折入院 骨科医生叹息 一大把年纪 1件事要少做 骨质疏松 关节 周阿姨 网易订阅




杨丽萍摔伤致严重骨折 入院提一请求 医生的回复让网友心疼 Youtube




杨丽萍腿部四处骨折入院已进行手术




骨折 手術 入院 Kazoku No Ayumi



骨折入院记录 万图壁纸网



新方法造福患者 滨州市中心医院顺利完成胸锁钩接骨板固定锁骨近端骨折 滨州网




16年再骨折入院 Happy Family Life 難病アラジール症候群との生活



3kq2bv77bbkgiviey3dq1g Com Rokkotsukossetsu Chiryouhi




Kls4dduu5a4j1m




長期入院の心得 骨折治療日記その 徒然なるパパに




王志勇 因骨折入院治疗 出院后第二天再发骨折 医疗损害 简书



住院骨折病人真实图片 信息图文欣赏 信息村 K0w0m Com




奔驰车主殴打六旬保安 致其骨折入院 警方已介入调查 黄冈新视窗



黄晓明拍戏受伤入院范冰冰微博打气 影音娱乐 新浪网



因付不起小费印度4 岁男孩在医院走廊艰难推着妈妈的担架床 中国经济网




重庆妇腿骨折照x光赫见子弹藏体内半世纪光华日报 1910年创刊创新每一天生活
.jpg)



肱骨中下段骨折治疗




快手网红浩南小腿骨折 需举办手术治疗 已抉择手术已入院做筹备 三水星娱 专注网红主播 直播圈资讯 电竞泛娱乐内容 主播资料百科



送餐途中被施工缆线绊倒 济南一外卖小哥摔骨折入院 缆线 骨折 施工 新浪新闻



入院なう 交通事故です 右足かかと 左胸肋骨二本骨折に伴う肺から 照片共享页面 撮影蔵



谢楠桡骨粉碎性骨折入院吴京竟遭网友留言质疑家暴 腾讯新闻



3岁 玻璃娃 摔跤就骨折入院10次疑脆骨病 图 搜狐新闻




57歲大媽骨折入院 不幸離世 骨科醫生 上了年紀 2事卻不知




転んで利き手を骨折 手術のため入院していました ハルメクハルトモ倶楽部




腓骨骨折入院 7 9日目 入院から1週間経過 なべマガジン Note



竹山男子骨折急需入院救治警车秒变 救护车 奔医院



57岁男子骨折入院 老妈妈知道后煮了一碗水 医生 有文化的老人 健康大河南



控诉新加坡医院 因骨折入院 1个月后去世 院方尽力看护了吗 新闻 蛋蛋赞




医生说的孟氏骨折是什么 知乎




特别的 生日礼物 遂宁6名医生为百岁老人完成骨折手术 骨折 手术 遂宁市中心医院 骨科 手机网易网



车祸致胫腓骨开放性粉碎性骨折 看骨科微创技术神奇修复




92岁词曲家庄奴骨折入院引医护人员来合影 图 中新网



假装脚骨折住院了 西瓜视频搜索



我院骨伤科实施人工股骨头置换术 患者术后康复良好 滨州市中医医院




初めての骨折 手術体験記 2 入院 手術へ 自分の身体は自分で治す 統合医療ドクター 北九州 平野薫のブログ




女子腰痛1个月 骨折入院 医生 2物堪称骨质疏松 加速器 劝你少吃



双腿骨折vlog 西瓜视频搜索



黄宗泽拍戏脚掌粉碎性骨折入院做手术 苗侨伟吴卓羲前往探病




兒童跌傷處理謬誤多 東方日報




男子左眼眶下壁骨折 看东西一直重影 医生内窥镜下巧 修复 健康频道 东方资讯



高空抛物真缺德老人头部砸骨折 入院 治疗 凤凰资讯



控诉新加坡医院 因骨折入院 1个月后去世 院方尽力看护了吗 新闻 蛋蛋赞




跌倒骨折入院狮城交长许文远出院啦 狮城新闻 新加坡新闻



市工人医院成功抢救一名多发骨折合并股动脉断裂车祸患者 医护园地 秦皇岛市工人医院



98岁老人髋部骨折 微创手术快速康复 威海卫人民医院 威海市骨科医院官方网站



珠海一少女从三楼坠落 身体多处骨折 休克入院后 腾讯新闻




摔跤骨折入院后发烧 女子检查排除新冠又确诊肺癌胸心外科 深圳大学总医院



骨折手术不再可怕市二医院 外固定 微创治疗骨折



45岁 老虎 伍兹遭遇车祸腿部骨折入院 中国日报网




图片 小儿股骨远端骨折治疗



桡骨骨折 医联




娘の骨折手術入院 あおちんのブログ




仕事中骨折入院なり Youtube



僕と骨折とときどき入院 僕と波とときどき仕事




股骨干病理性骨折 骨科 丁香园论坛



祈福医院 动态详情




美女coser模仿 马娘 Dropkick动作骨折入院花费30万 52pk新闻中心




骨折入院日記 4
コメント
コメントを投稿